Fëmijët në Kinë nuk po sëmuren me një sindromë misterioze të quajtur “mushkëria e badhë”. Verifikimi i Faktoje zbuloi se rastet e pneumonisë në Kinën veriore lidhen me praninë e patogjenëve të njohur sezonalë të rrugëve të frymëmarrjes.
————————————-
Në rrjetet konspiracioniste po qarkullon pretendimi se një sëmundje “misterioze”, e ashtuquajtur “sindroma e mushkërive të bardha”, e cila ka prekur një numër fëmijësh në Kinë, po përdoret për të fshehur dëmet e vaksinës.
Që nga fillimi i muajit tetor, në veri të Kinës ka patur një rrritje rastesh të sëmundjeve të frymëmarrjes, të ngjashme me gripin, përfshi edhe tek fëmijët.
Sipas Organizatës Botërore të Shëndetit (OBSh), hetimet tregojnë se këto sëmundje nuk janë aq misterioze. Ato vijnë si pasojë e patogjenëve të njohur, përfshi bakterin që shkakton pneumoni, Mycoplasma pneumoniae, virusi sincicial i frymëmarrjes, RSV, adenovirusët dhe gripi i zakonshëm.
Një numër ekspertësh të pavarur kanë pohuar gjithashtu se ka kuptim që çfarë po ndodh në Kinë është rishfaqje e disa patogjenëve të njohur të rrugëve të frymëmarrjes si pasojë e rritjes normale të sëmundjeve sezonale, kombinuar me heqjen e kufizimeve anti-pandemi.
Kreu i departamentit për parandalimin dhe përgatitjen kundër epidemive dhe pandemive në OBSh, Maria Van Kerkhove, tha se të dhënat nga Kina janë konsistente me një shpjegim “boshllëku imuniteti”. “Nuk ka tregues të një patogjeni të ri,” tha ajo. “Kjo është e pritshme. Shumica e shteteve u përballën me këtë përpara një apo dy vitesh.” Sipas autoriteteve kineze, asnjë nga pacientët nuk ka simptoma të pazakonta apo nuk ka mundur të marrë një diagnozë.
Dr. Mandy Cohen, kreu i Qendrës ameriakane për Kontrollin dhe Parandalimin e Sëmundjeve (CDC) dëshmoi para një komisioni parlamentar në 30 nëntor se CDC nuk mendonte se këto sëmundje janë si pasojë e një patogjeni të ri.
Dr. Scott Gottlieb, i cili shërbeu si komisioner i Administratës amerikane të Ushqimit dhe Barnave (FDA) gjatë administratës Trump, tha gjithashtu se “duket se janë më shumë nga lloje të njohura sëmundjesh. Kështu, nuk ka arsye për të besuar se ka diçka të re që po përhapet atje.”
Jennifer Nuzzo, kreu i Qendrës së Pandemive në Broën University, tha se “nuk është e saktë ta quash rritjen e sëmundjeve pediatrike në Kinë ‘misterioze’”.
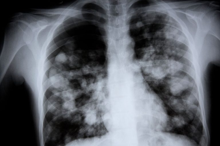
Sa i përket termit “mushkëria e bardhë”, ai nuk është një term mjekësor. Pneumonia mund të shfaqet në grafi si njolla të bardha, që tregojnë inflamacionin ose mbledhjen e lëngjeve si pasojë e infeksionit. Zakonisht, duke qenë se mushkëritë janë të mbushura me ajër, ato nuk e bllokojnë shumë rrezatimin dhe duken të errëta. Një grafi e mushkërive e tëra e bardhë është e rrallë dhe do të tregonte një mushkëri të kolapsuar ose një problem tjetër serioz.
Dr. Clint Koenig, kreu i departamentit të shëndetit të Warren, Ohio, ku pretendohet se ka patur gjithashtu raste të “sindromës së mushkërive të bardha” tha për Washington Post se “nuk ka të dhëna që ta mbështesin përdorimin e tanishëm të atij termi. Eshtë i papërshtatshëm dhe i pasaktë.”





